Oncology

Dr Linda Calabresi
Clinical Articles iconClinical Articles
Dr Linda Calabresi
Clinical Articles iconClinical Articles
Dr Linda Calabresi
Clinical Articles iconClinical Articles
Prof Jayne Lucke
Clinical Articles iconClinical Articles

A recently published study claims to have found a link between having had ten or more sexual partners and an increased risk of cancer. But it’s not as simple as that.While having a sexually transmissible infection (STI) can increase the risk of certain types of cancer, using a person’s lifetime number of sexual partners as a marker of their likely sexual health history is one of several flaws in this research.

Dr Linda Calabresi
Clinical Articles iconClinical Articles

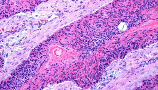
Not only are immunosuppressed people at increased risk of developing skin cancer, new research shows the skin cancer they get is more likely to be aggressive and multifocal.According to the retrospective study of a cohort of almost 800 patients who had been treated for cutaneous SCC of the head and neck at a US tertiary cancer care centre, immunosuppression was found to be independently associated with a worse outcome.

Dr Linda Calabresi
Clinical Articles iconClinical Articles

The latest updated version of the clinical practice guidelines for keratinocyte cancer are now available and worth checking out, especially if you do a lot of skin work.Keratinocyte cancer is the new way to talk about non-melanoma skin cancer and basically refers to basal cell carcinomas and squamous cell carcinomas.The new guidelines, which were developed by an Australian ‘non-remunerated working group’, incorporate a number of recent developments in the non-surgical treatment of these cancers. They provide suitable options for treating more advanced and metastatic cancers, and give guidance on how to manage patients who are believed to be at greater risk of developing these cancers, eg those who are on immunosuppression therapy.

Dr Linda Calabresi
Clinical Articles iconClinical Articles

CancerAid is a free app designed by two Australian oncologists for people affected by cancer and their carers.The motivation behind this app’s development was to improve cancer care outcomes by engaging patients in their own care. Patients using the app can monitor treatments, find resources, manage side-effects and read others’ experiences, thereby developing an effective support network. The technology also allows patients to share information (if they want to) with family and friends as well as relevant health professionalsThe information on the CancerAid app is both evidence-based and constantly updated, so doctors can be very comfortable recommending it to their patients.

Prof Martha Hickey
Clinical Articles iconClinical Articles

Menopause is a normal life stage for women at around 51 years. Most women don’t need treatment for their symptoms, but around 13% of Australian women aged 50-69 take menopausal hormone therapy (sometimes called “hormone replacement therapy”).This medication contains hormones that are normally low or absent after menopause, and reduces symptoms such as hot flushes and night sweats, which can be troublesome and persistent for some women.But growing evidence over recent years has pointed to an increased risk of breast cancer associated with menopausal hormone therapy. This has already led some women to stop or avoid the treatment.

Dr Linda Calabresi
Clinical Articles iconClinical Articles

Screening for prostate cancer with PSA testing has always been a bit controversial. Initially the high rate of false positives, especially in younger men, had most GPs questioning whether overall, we were doing more harm than good. But it would seem we’ve come a long way since those early days.Not only do we understand a lot more about the PSA test itself, but also, we now are better able to determine what an elevated PSA signifies in a particular patient through tools such as imaging, before subjecting the man to a series of invasive procedures.

Dr Linda Calabresi
Clinical Articles iconClinical Articles

Even more reason to eat your vegetables.Researchers have determined that having a diet rich in vitamin A actually protects you from developing one of the commonest forms of skin cancer, squamous cell carcinoma.

Dr Linda Calabresi
Clinical Articles iconClinical Articles

Cancer Council NSW has developed a fantastic new podcast series specifically for patients with advanced cancer.The series, entitled ‘The Thing About Advanced Cancer’ provides evidence-based information and practical tips for this group of patients who are often hungry for answers and guidance beyond the usual facts and statistics currently available for their condition.

Dr Linda Calabresi
Clinical Articles iconClinical Articles

Did you know that melanoma is the most common malignancy in pregnancy? It accounts for one third of pregnancy-associated malignancies in Australia. Terrifying stuff isn’t it?Fortunately, melanoma occurring in a pregnant woman remains a very rare occurrence. But no one wants to be the doctor that misses it, especially as we all know picking it up early can, quite literally, be the difference between life and death.The really tricky part is that pregnancy does add an extra dimension to detecting and managing melanoma. For a start melanocytic naevi darken during pregnancy in one in ten women.

Last chance - $155 special ends midnight Sunday!

This is your last chance to secure discounted registration to both national seminars before prices increase on Monday! You're invited to attend Australia's most popular seminars for GPs and healthcare professionals.